How do digital x-rays benefit you?

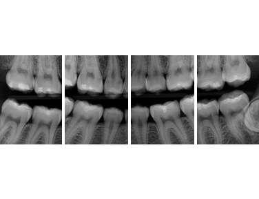
For the first time in the 100-year history of dental X-rays (radiography), an extraordinary new technology surpasses the diagnostic abilities of traditional film. It does so with substantially less radiation exposure to you.. and us. This system has truly amazing diagnostic tools, making the image quality simply unmatched.

 

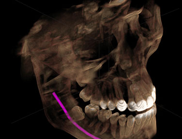
Lockheed Martin, the aerospace manufacturer of the Magellan Venus Spacecraft and the Hubble Telescope designed the digital X-ray sensor that is the heart of this technology. The sensor is very special as it has a uniquely shaped design for your optimum comfort. No more sharp edges like the old film had. This allows for increased positioning accuracy.

 

This system allows for the ability to instantly produce the very best possible diagnosis and produces up to 90% less radiation.

 

Jonathan B. Echols, DMD, PC

Associate Dentist | Ashley Holladay, DMD

(256) 734-7151

Open:  Mon-Thur 8:00 AM - 5:00 PM & Friday 8:00 AM - 1:00 PM

©2018 Cullman Cosmetic & Family Dentistry. All Rights Reserved.  | 311 6th Ave SE, Cullman, Alabama 35055  | Website Designed By: YourSocialMediaPartner@gmail.com